您现在的位置是:首页>新闻中心>医院新闻>

商丘市中医院顺利完成一例子宫腺肌症的介入治疗

时间:2016-04-06 10:36:59    浏览量:208次

    
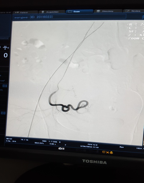
        治疗前 左侧                              治疗后左侧分支血管消失

    
       治疗前 右侧                            治疗后 右侧分支血管消失

 
       3月28日下午3点,在医院新导管室内,放射介入科主任张敏荣与任长德、李可峰医师成功地完成了新导管室建成后首例子宫腺肌症介入手术。该患者女性、40岁,因患子宫腺肌症,造成腹痛难耐,C臂下造影见:左子宫动脉增粗,分支数量增多、迂曲,用PVA颗粒栓塞迂曲的分支动脉,在妇产科保驾下,手术操作顺利。经过几天的对症治疗,各项检查指标符合出院标准,现病人已出院家中休养。该项手术的成功开展,又一次填补了市中医院该项之空白。